Răng mọc lệch không chỉ khiến bạn ngại cười, mà còn âm thầm gây khó khăn trong việc vệ sinh, ăn nhai và ảnh hưởng đến sức khỏe răng miệng về lâu dài. Tuy nhiên, không phải ai cũng hiểu rõ tình trạng của mình thuộc dạng nào và nên điều trị ra sao.
Tại Nha khoa Úc Châu, mỗi ca niềng răng mọc lệch đều được phân tích kỹ lưỡng theo từng dạng lệch cụ thể, từ đó xây dựng giải pháp chỉnh nha phù hợp, an toàn và tối ưu hiệu quả.
Răng mọc lệch là gì? Vì sao cần can thiệp sớm?
Răng mọc lệch là tình trạng răng không nằm đúng vị trí trên cung hàm. Thay vì thẳng hàng, chúng có thể chen chúc, xoay trục hoặc chìa ra ngoài.
Nguyên nhân thường đến từ sự mất cân đối giữa kích thước răng và cung hàm, yếu tố di truyền, hoặc thói quen xấu từ nhỏ như đẩy lưỡi, mút tay, thở miệng.

Ở giai đoạn đầu, bạn có thể chỉ thấy răng “không đẹp”. Nhưng theo thời gian, sự lệch lạc này có thể dẫn đến:
- Khó làm sạch răng → tích tụ mảng bám
- Gia tăng nguy cơ sâu răng, viêm nha chu
- Sai khớp cắn → ảnh hưởng ăn nhai và phát âm
Chính vì vậy, can thiệp sớm không chỉ giúp rút ngắn thời gian điều trị mà còn hạn chế những biến chứng về sau.
Các dạng răng mọc lệch phổ biến (bác sĩ thường gặp trong niềng răng mọc lệch)
Không phải mọi trường hợp răng lệch đều giống nhau. Việc phân loại chính xác tình trạng là bước đầu tiên để xây dựng phác đồ điều trị hiệu quả.
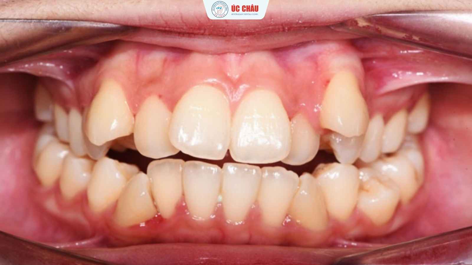
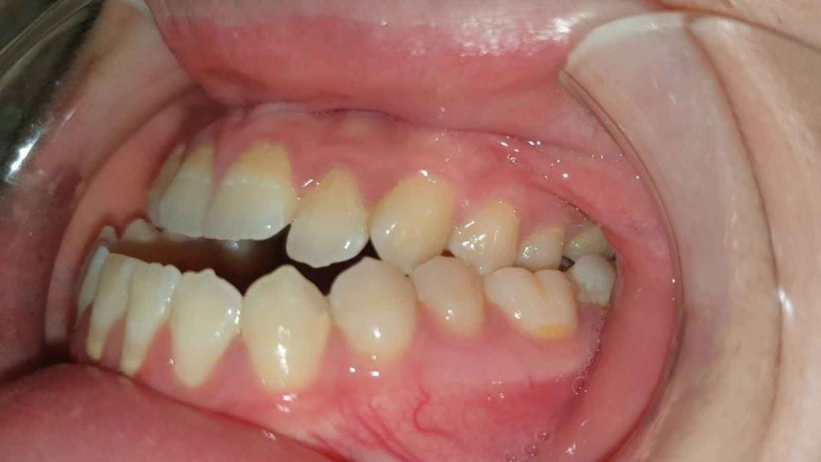
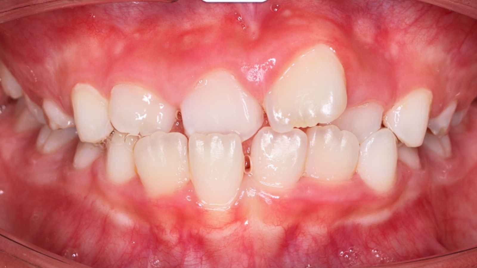
Răng chen chúc – tình trạng phổ biến nhất
Đây là dạng thường gặp khi cung hàm không đủ chỗ cho tất cả các răng. Các răng buộc phải chen lấn, chồng chéo lên nhau để “tìm chỗ đứng”. Những trường hợp này thường khiến việc vệ sinh trở nên khó khăn, dễ gây sâu răng ở kẽ răng – nơi bàn chải khó tiếp cận.

Răng khấp khểnh – lệch lạc nhẹ nhưng ảnh hưởng thẩm mỹ rõ rệt
Răng không nằm thẳng hàng, có chiếc thò ra, có chiếc thụt vào. Dù mức độ không quá nghiêm trọng, nhưng lại ảnh hưởng trực tiếp đến nụ cười và sự tự tin khi giao tiếp.

Răng hô (vẩu) – lệch do răng hoặc xương hàm
Trong trường hợp này, răng cửa hàm trên chìa ra phía trước. Có người chỉ hô nhẹ do răng, nhưng cũng có trường hợp hô do cấu trúc xương hàm. Sự khác biệt này rất quan trọng, vì nó quyết định phương pháp điều trị (niềng răng đơn thuần hay cần kết hợp can thiệp sâu hơn).

Răng móm (khớp cắn ngược) – dạng sai lệch phức tạp
Ngược lại với hô, móm là khi hàm dưới đưa ra trước, khiến răng dưới phủ răng trên. Đây là một trong những dạng sai khớp cắn cần được đánh giá kỹ lưỡng, vì có thể liên quan đến xương hàm.

Răng xoay trục – lệch “âm thầm” nhưng ảnh hưởng lâu dài
Một số răng không lệch vị trí nhưng lại xoay quanh trục của chính nó. Điều này khiến lực ăn nhai phân bố không đều, lâu dài có thể gây mòn răng hoặc ảnh hưởng khớp cắn.

Răng mọc lệch khỏi cung hàm hoặc mọc ngầm
Đây là trường hợp răng mọc sai vị trí hoàn toàn, thậm chí nằm dưới nướu. Thường gặp nhất là răng nanh mọc lệch hoặc răng khôn. Những trường hợp này gần như bắt buộc phải can thiệp chỉnh nha hoặc phẫu thuật để đưa răng về đúng vị trí.

Niềng răng mọc lệch có hiệu quả không?
Câu trả lời là: có, và đây là phương pháp tối ưu nhất hiện nay.
Niềng răng sử dụng lực kéo ổn định để di chuyển răng từng chút một về đúng vị trí trên cung hàm. Khi được thực hiện đúng kỹ thuật và có kế hoạch rõ ràng, niềng răng không chỉ giúp răng đều hơn mà còn cải thiện khớp cắn và chức năng ăn nhai.
Tuy nhiên, hiệu quả còn phụ thuộc vào:
- Mức độ lệch lạc
- Độ tuổi
- Phác đồ điều trị của bác sĩ
Một kế hoạch niềng răng tốt không chỉ giải quyết vấn đề hiện tại mà còn đảm bảo sự ổn định lâu dài sau khi tháo niềng.

Các phương pháp niềng răng mọc lệch phổ biến hiện nay
Hiện nay có nhiều phương pháp niềng răng khác nhau, phù hợp với từng nhu cầu thẩm mỹ và tài chính.

Niềng mắc cài kim loại là lựa chọn phổ biến nhờ hiệu quả cao và chi phí hợp lý. Trong khi đó, niềng mắc cài sứ mang lại tính thẩm mỹ tốt hơn khi màu sắc gần giống răng thật.
Với những người ưu tiên sự kín đáo, niềng răng trong suốt (khay Invisalign) là lựa chọn đáng cân nhắc. Phương pháp này gần như “vô hình” khi giao tiếp và có thể tháo lắp linh hoạt.
Xem thêm: Bảng giá dịch vụ niềng răng mới nhất tại Nha khoa Úc Châu – Đà Nẵng
Thời gian niềng răng mọc lệch mất bao lâu?
Thời gian niềng răng không cố định mà phụ thuộc vào từng trường hợp cụ thể. Trung bình, một ca chỉnh nha kéo dài từ 12 đến 24 tháng.
Những trường hợp lệch nhẹ có thể rút ngắn thời gian, trong khi các ca phức tạp (liên quan khớp cắn hoặc xương hàm) có thể cần lâu hơn.
Điều quan trọng là tuân thủ đúng lịch tái khám và hướng dẫn của bác sĩ để đảm bảo tiến trình điều trị diễn ra đúng kế hoạch.

Kết luận
Niềng răng mọc lệch không chỉ là giải pháp làm đẹp, mà còn là một bước đầu tư cho sức khỏe lâu dài. Một hàm răng đều không chỉ giúp bạn tự tin hơn, mà còn giúp việc ăn nhai, vệ sinh răng miệng trở nên dễ dàng và hiệu quả hơn.
Nếu bạn đang phân vân về tình trạng răng của mình, điều tốt nhất bạn có thể làm là bắt đầu bằng một buổi thăm khám. Khi hiểu rõ vấn đề, bạn sẽ biết đâu là lựa chọn phù hợp nhất cho mình.

